The 21-Day Photography Challenge

Finally Take Photos You’re Proud Of

Stop apologizing for blurry photos. Learn the exact system to document your dentistry in just 21 days—without spending a fortune or adding hours to your workflow.

Join the challenge now

Every dentist you respect documents their work beautifully. It's not a coincidence—it's the secret sauce for rapid growth, case acceptance, and job satisfaction.

Join the challenge now

The Painful Truth

Think of a dentist whose clinical work you genuinely admire. How do you actually know their work is excellent? Because you've seen their dental photos.

Most dentists are absolute perfectionists in the mouth and complete amateurs when it comes to photographing their hard work. We'll spend hours chasing a flawless margin, sculpting perfect cusps, shade-matching with incredible accuracy—and then ruin it all with a blurry photo that looks like it was taken during an earthquake.

Somewhere right now, a dentist is placing the best restoration of their career. Perfect margins. Ideal contours. A shade match that would fool anyone. And in five years? There'll be no record of it. No proof. Just another invisible moment of brilliance, gone without a trace.

We're artists destroying our own paintings.

Why the 21-Day Photography Challenge?

This was never really about photography. It's always been about clinical growth. You need a small, repeatable practice that tightens your feedback loop, builds a genuine portfolio of progress, and makes your dentistry more satisfying.

Generic photography courses weren't made for dentists—they're designed for wedding photographers and artists.

We don't need to master the rule of thirds or create art.

We need consistent, medical-grade, well-lit documentation.

That's what this challenge is all about.

Kind Words About The 21-Day Photography Challenge

Get instant access today.

Join the challenge now

What You’ll Learn

Foundation Skills

Equipment selection, camera settings, and flash techniques that work consistently in a clinical environment.

Extraoral Photography

Patient positioning, portrait lighting, and profile photos that look professional from day one.

Intraoral Mastery

From smile photos to occlusal views—master every angle you need for complete case documentation.

Advanced Application

Close-up photography, shade taking, whitening documentation, and seamless workflow integration.

Enroll in the 21-Day Photography Challenge today

What You’ll Achieve

After completing this course, you'll be able to:

  • Choose the right camera equipment without analysis paralysis

  • Understand manual mode, lens settings, and magnification ratios

  • Master flash settings for consistent, well-lit results

  • Position patients properly for portraits and profile photos

  • Capture the 'E' smile and rest photo for esthetic planning

  • Take anterior retracted views with confidence

  • Execute both 'lazy' and 'posh' buccal photos

  • Master upper and lower occlusal photography

  • Perform basic editing for professional results

  • Capture anterior and single tooth close-ups

  • Document quadrants and posterior details effectively

  • Use manual flash for teeth whitening documentation

  • Take accurate shade photos

  • Integrate photography seamlessly into your practice workflow

  • Build a portfolio that generates referrals and case acceptance

  • Document your clinical growth journey with pride

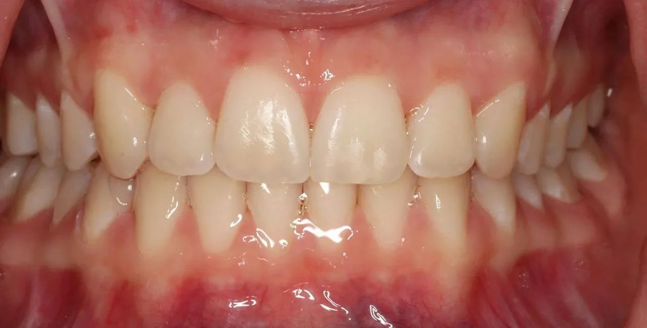
BEFORE the Challenge

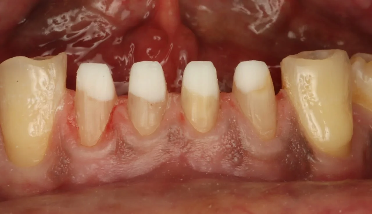
AFTER the Challenge

Course Curriculum

    • Day 0 - Which Camera Should You Buy?

    • Day 1 - Equipment, Transport and Manual Mode

    • Day 2 - Understanding the Settings

    • Day 3 - Lens Settings and Magnification Ratio

    • Day 4 - Flash Settings Revisited

    • Day 5 - Patient Positioning for Portraits

    • Day 6 - Portraits Lighting and Profile Photo

    • Day 7 - Round-Up and Troubleshooting Extra-Oral

    • Day 8 - ‘E’ Smile and Rest Photo - Cornerstone of Esthetic Planning

    • Day 9 - Anterior Retracted Views

    • Day 10 - ‘Lazy’ Buccal Photos

    • Day 11 - Posh Buccal Photos

    • Day 12 - Upper Occlusal Mastery

    • Day 13 - Lower Occlusal Mastery

    • Day 14 - Dentist’s Guide to Basic Editing

    • Day 15 - Introduction to Anterior Close-Ups

    • Day 16 - Close Up Photography - Single Tooth

    • Day 17 - Quadrant Photos

    • Day 18 - Close Up Posterior Details

    • Day 19 - Manual Flash for Teeth Whitening

    • Day 20 - Shade Taking Photos

    • Day 21 - Integrating Photography into your Practice Workflow

    • Day 22 - Consent Form and Communication

    • Day 23 - File Storage and Organizing

Join the challenge now

Who Is This For

✓ Dentists who have a camera but no confidence
✓ Those who rely on their phone and hope it's "good enough"
✓ Practitioners who think they're "too busy" to figure it all out
✓ Anyone who gave up after a few blurry shots
✓ Complete beginners with zero experience and zero knowledge

If you can take a selfie, you can do this.

You have two ways to jump in.

The Ultimate Plan - £459

If you want the full ecosystem—masterclasses, quizzes (the works!) —the 21-Day Photography Challenge sits inside the Ultimate Clinical Education Plan.

Upgrade and it’s there waiting, alongside everything else you’ll use this year.

Upgrade to Ultimate

21-Day Photography Challenge - £299

Prefer to keep it focused?

Grab the 21-Day Photography Challenge as a standalone purchase .

Get the 21-Day Photography Challenge Only

Ready to Stop Apologizing for Your Photo Quality?

Join the dentists who've transformed their documentation from embarrassing to exceptional. Get instant access to 21 days of focused training and a supportive community.

Join the 21-Day Photography Challenge Today